

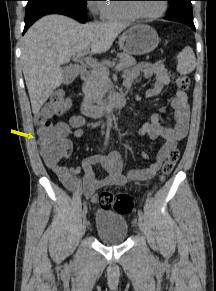
A Enterografia por Tomografia Computadorizada é um exame que estuda o intestino delgado, permitindo diagnóstico de diversas doenças que afetam este órgão, como a Doença de Crohn. O exame também é conhecido como enterotomografia. Assemelha-se à tomografia computadorizada tradicional com contraste.
A Enterotomografia difere da TC convencional de abdômen pela utilização de grandes volumes de contraste oral e cortes finos, com reconstruções multiplanares. As principais indicações são para as seguintes situações: avaliação de sangramento gastrointestinal obscuro, diagnóstico e acompanhamento de doença inflamatória intestinal, especialmente a doença de Crohn, e pesquisa de neoplasias intestinais.
Contrastes orais neutros permitem a melhor distinção de segmentos com realce mural aumentado, de massas hipervasculares e de outros processos inflamatórios e vasculares.

A realização da Enterotomografia é de grande relevância na investigação de muitas doenças, entre as quais podemos citar:
Citaremos, a seguir, alguns exemplos de sintomas e sinais que podem levar à necessidade de realização do exame:
Observado algum desses sintomas, procure seu médico.

Após o horário previamente agendado, orientações recebidas e preparo feito de maneira correta, no dia da realização do exame orienta-se que o paciente se atente a alguns cuidados, quais sejam:
Após esses cuidados, o paciente é colocado de barriga para cima na maca, a qual deslizará para o interior do aparelho de tomografia computadorizada, facilitando a aquisição de imagens.
O exame é realizado por um técnico de radiologia. O paciente deve ficar imóvel por alguns instantes para a obtenção das imagens. Caso sinta algum desconforto durante o exame, o paciente poderá comunicá-lo ao técnico responsável por meio do comunicador existente no aparelho.
Sempre há necessidade de uso de contraste, o que aumenta a acurácia diagnóstica. O contraste é uma substância líquida, injetada na veia, durante a realização do exame. Em alguns casos, pode ocorrer gosto metálico na boca e sensação de calor, que passa em alguns instantes.
Contraindicações ao uso do contraste
Este exame pode, por norma, ser realizado por todas as pessoas, de todas as idades e gêneros, de uma forma simples e com qualidade, desde que tenha a devida indicação médica.
A realização de tomografia em crianças ou adultos com agitação motora pode ser realizada com uso de anestesia (sedação), pois há necessidade de evitar artefatos de movimentos que possam prejudicar a análise do médico radiologista.
No caso de mulheres grávidas, existe uma contraindicação relativa para a realização de exames que usem radiação. Portanto, por norma, uma mulher em estado gestacional não poderá ser submetida a uma enterotomografia, excetuando-se as situações de muita urgência e autorização do médico assistente.

O tempo de duração da Enterotomografia é de, em média, 30 minutos após o início do exame, uma vez que é necessária a punção para criar um acesso venoso e a realização de mais de uma aquisição.
O paciente não é exposto a nenhum tipo de dor ou desconforto durante a execução do exame, tendo em vista que a tomografia computadorizada é um exame indolor e não invasivo. No entanto, algumas pessoas poderão vivenciar breves momentos de ansiedade, o que é natural, dada a relevância do exame. Caso seja feita a aplicação de contraste, o paciente pode sentir um calor ou uma sensação diferente no corpo logo após a aplicação, como também um gosto metálico na boca, sensações muito comuns em procedimentos desse tipo.
A clínica de tomografia AMD Saúde é especializada em todos os tipos de exame de tomografia.
Conta com médicos especialistas com RQE (Registro no conselho de Medicina) com título do CBR (Colégio Brasileiro de Radiologia), as melhores tecnologias do país em radiologia com alta precisão e a experiência de mais de 1 milhão de laudos realizados em todo Brasil.
Tudo para garantir que seus laudos sejam entregues em até 3 horas.
Agende agora a sua Enterotomografia de forma fácil e rápida.


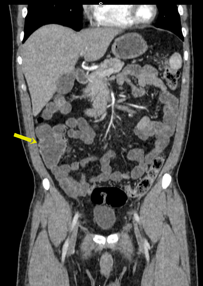
A Enterografia por Tomografia Computadorizada é um exame que estuda o intestino delgado, permitindo diagnóstico de diversas doenças que afetam este órgão, como a Doença de Crohn. O exame também é conhecido como enterotomografia. Assemelha-se à tomografia computadorizada tradicional com contraste.
A Enterotomografia difere da TC convencional de abdômen pela utilização de grandes volumes de contraste oral e cortes finos, com reconstruções multiplanares. As principais indicações são para as seguintes situações: avaliação de sangramento gastrointestinal obscuro, diagnóstico e acompanhamento de doença inflamatória intestinal, especialmente a doença de Crohn, e pesquisa de neoplasias intestinais.
Contrastes orais neutros permitem a melhor distinção de segmentos com realce mural aumentado, de massas hipervasculares e de outros processos inflamatórios e vasculares.

A realização da Enterotomografia é de grande relevância na investigação de muitas doenças, entre as quais podemos citar:
Citaremos, a seguir, alguns exemplos de sintomas e sinais que podem levar à necessidade de realização do exame:
Observado algum desses sintomas, procure seu médico.

Após o horário previamente agendado, orientações recebidas e preparo feito de maneira correta, no dia da realização do exame orienta-se que o paciente se atente a alguns cuidados, quais sejam:
Após esses cuidados, o paciente é colocado de barriga para cima na maca, a qual deslizará para o interior do aparelho de tomografia computadorizada, facilitando a aquisição de imagens.
O exame é realizado por um técnico de radiologia. O paciente deve ficar imóvel por alguns instantes para a obtenção das imagens. Caso sinta algum desconforto durante o exame, o paciente poderá comunicá-lo ao técnico responsável por meio do comunicador existente no aparelho.
Sempre há necessidade de uso de contraste, o que aumenta a acurácia diagnóstica. O contraste é uma substância líquida, injetada na veia, durante a realização do exame. Em alguns casos, pode ocorrer gosto metálico na boca e sensação de calor, que passa em alguns instantes.
Contraindicações ao uso do contraste
Este exame pode, por norma, ser realizado por todas as pessoas, de todas as idades e gêneros, de uma forma simples e com qualidade, desde que tenha a devida indicação médica.
A realização de tomografia em crianças ou adultos com agitação motora pode ser realizada com uso de anestesia (sedação), pois há necessidade de evitar artefatos de movimentos que possam prejudicar a análise do médico radiologista.
No caso de mulheres grávidas, existe uma contraindicação relativa para a realização de exames que usem radiação. Portanto, por norma, uma mulher em estado gestacional não poderá ser submetida a uma enterotomografia, excetuando-se as situações de muita urgência e autorização do médico assistente.

NOTA: O paciente deve realizar o preparo de maneira correta!
O preparo não realizado, ou realizado incorretamente, pode fazer com que seu exame precise ser remarcado.
O paciente deverá informar sobre as medicações de que faz uso e se possui alergia a algum medicamento, podendo fazer uso das medicações de sua rotina, se liberado pelo médico.
A suspensão de qualquer medicação deve ser feita apenas sob orientação médica, após conversa com o paciente.
Recomendações
Pacientes que realizarão exame com contraste e fazem uso de hipoglicemiantes à base de Metformina devem suspender seu uso por três dias: no dia da realização do exame e os dois dias que se seguem. A suspensão deve ser realizada com a autorização do médico solicitante.
NOTA: O paciente deve realizar o preparo de maneira correta!
O preparo não realizado, ou realizado incorretamente, pode fazer com que seu exame precise ser remarcado.
Instruções necessárias para a realização do exame
É importante que o paciente siga os seguintes passos:
O tempo de duração da Enterotomografia é de, em média, 15 minutos após o início do exame, uma vez que é necessária a punção para criar um acesso venoso e a realização de mais de uma aquisição.
O paciente não é exposto a nenhum tipo de dor ou desconforto durante a execução do exame, tendo em vista que a tomografia computadorizada é um exame indolor e não invasivo. No entanto, algumas pessoas poderão vivenciar breves momentos de ansiedade, o que é natural, dada a relevância do exame. Caso seja feita a aplicação de contraste, o paciente pode sentir um calor ou uma sensação diferente no corpo logo após a aplicação, como também um gosto metálico na boca, sensações muito comuns em procedimentos desse tipo.
A clínica de tomografia AMD Saúde é especializada em todos os tipos de exame de tomografia.
Conta com médicos especialistas com RQE (Registro no conselho de Medicina) com título do CBR (Colégio Brasileiro de Radiologia), as melhores tecnologias do país em radiologia com alta precisão e a experiência de mais de 1 milhão de laudos realizados em todo Brasil.
Tudo para garantir que seus laudos sejam entregues em até 3 horas.
Agende agora a sua Enterotomografia de forma fácil e rápida.
