
HOME ➞ EXAMES ➞ TC DE PESCOÇO

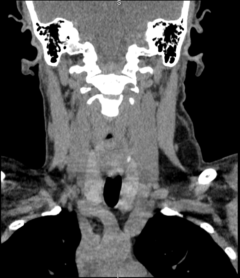
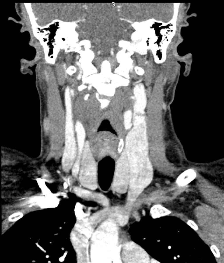
A tomografia do pescoço analisa músculos, vasos, laringe, glândulas salivares, tireóide e linfonodos, nódulos, aumento de volume, estenose de laringe, abscessos, pesquisa de linfonodos e tumores nessa área.
A realização de tomografia de pescoço é grande relevância na investigação de muitas doenças, em seguida citaremos algumas;

Desse modo, com a tomografia do pescoço, é capaz de se obter o diagnóstico para várias patologias, possibilitando o melhor método de acompanhamento e tratamento para cada caso. Citamos penas alguns exemplos de doenças, porém deixamos claro que este exame é de grande importância para ajudar a detectar muitas outras.
Abaixo, citaremos alguns exemplos de sintomas e sinais que podem levar à realização do exame, nesses casos busque seu médico, os sintomas são:

Após o horário previamente agendado, orientações recebidas e preparo feito de maneira correta, no dia da realização do exame orienta-se que o paciente se atente a alguns cuidados, quais sejam:
Após esses cuidados, o paciente é colocado de barriga para cima na maca, a qual deslizará para o interior do aparelho de tomografia computadorizada, facilitando a aquisição de imagens.
O exame é realizado por um técnico de radiologia. O paciente deve ficar imóvel por alguns instantes para a obtenção das imagens. Caso sinta algum desconforto durante o exame, o paciente poderá comunicá-lo ao técnico responsável por meio do comunicador existente no aparelho.
Pode haver necessidade de uso de contraste, o que aumenta a acurácia diagnóstica. O contraste é uma substância líquida, injetada na veia, durante a realização do exame. Em alguns casos, pode ocorrer gosto metálico na boca e sensação de calor, que passa em alguns instantes.
Este exame pode, por norma, ser realizado por todas as pessoas, de todas as idades e gêneros, de uma forma simples e com qualidade, desde que tenha a devida indicação médica.
A realização de tomografia em crianças ou adultos com agitação motora pode ser realizada com uso de anestesia (sedação), pois há necessidade de evitar artefatos de movimentos que possam prejudicar a análise do médico radiologista.
No caso de mulheres grávidas, existe uma contraindicação relativa para a realização de exames que usem radiação. Portanto, por norma, uma mulher em estado gestacional não poderá ser submetida a uma TC de pescoço, excetuando-se as situações de muita urgência e autorização do médico assistente.

Este exame pode, por norma, ser realizado por todas as pessoas, de todas as idades e gêneros, de uma forma simples e com qualidade, desde que tenha a devida indicação médica.
A realização de tomografia em crianças ou adultos com agitação motora pode ser realizada com uso de anestesia (sedação), pois há necessidade de evitar artefatos de movimentos que possam prejudicar a análise do médico radiologista.
No caso de mulheres grávidas, existe uma contraindicação relativa para a realização de exames que usem radiação. Portanto, por norma, uma mulher em estado gestacional não poderá ser submetida a uma TC de crânio, excetuando-se as situações de muita urgência e autorização do médico assistente
Na tomografia de pescoço com uso de contraste, são analisadas as estruturas vasculares da região estudada. A solução de contraste iodado é administrada por via endovenosa e distribui o contraste entre as estruturas com fluxos sanguíneos, realçando as estruturas hipervascularizadas, mostrando, por exemplo, tumores ou processos inflamatórios.
Contraindicações ao uso do contraste
O paciente não é exposto a nenhum tipo de dor ou desconforto durante a execução do exame, tendo em vista que a tomografia computadorizada é um exame indolor e não invasivo. No entanto, algumas pessoas poderão vivenciar breves momentos de ansiedade, o que é natural, dada a relevância do exame. Caso seja feita a aplicação de contraste, o paciente pode sentir um calor ou uma sensação diferente no corpo logo após a aplicação, como também um gosto metálico na boca, sensações muito comuns em procedimentos desse tipo.
A clínica de tomografia AMD Saúde é especializada em todos os tipos de exame de tomografia.
Conta com médicos especialistas com RQE (Registro no conselho de Medicina) com título do CBR (Colégio Brasileiro de Radiologia), as melhores tecnologias do país em radiologia com alta precisão e a experiência de mais de 1 milhão de laudos realizados em todo Brasil.
Tudo para garantir que seus laudos sejam entregues em até 3 horas.
Agende agora a sua TC de Pescoço de forma fácil e rápida.


A tomografia do pescoço analisa músculos, vasos, laringe, glândulas salivares, tireóide e linfonodos, nódulos, aumento de volume, estenose de laringe, abscessos, pesquisa de linfonodos e tumores nessa área.
A realização de tomografia de pescoço é grande relevância na investigação de muitas doenças, em seguida citaremos algumas;

Desse modo, com a tomografia do pescoço, é capaz de se obter o diagnóstico para várias patologias, possibilitando o melhor método de acompanhamento e tratamento para cada caso. Citamos penas alguns exemplos de doenças, porém deixamos claro que este exame é de grande importância para ajudar a detectar muitas outras.
Abaixo, citaremos alguns exemplos de sintomas e sinais que podem levar à realização do exame, nesses casos busque seu médico, os sintomas são:

Após o horário previamente agendado, orientações recebidas e preparo feito de maneira correta, no dia da realização do exame orienta-se que o paciente se atente a alguns cuidados, quais sejam:
Após esses cuidados, o paciente é colocado de barriga para cima na maca, a qual deslizará para o interior do aparelho de tomografia computadorizada, facilitando a aquisição de imagens.
O exame é realizado por um técnico de radiologia. O paciente deve ficar imóvel por alguns instantes para a obtenção das imagens. Caso sinta algum desconforto durante o exame, o paciente poderá comunicá-lo ao técnico responsável por meio do comunicador existente no aparelho.
Pode haver necessidade de uso de contraste, o que aumenta a acurácia diagnóstica. O contraste é uma substância líquida, injetada na veia, durante a realização do exame. Em alguns casos, pode ocorrer gosto metálico na boca e sensação de calor, que passa em alguns instantes.
Este exame pode, por norma, ser realizado por todas as pessoas, de todas as idades e gêneros, de uma forma simples e com qualidade, desde que tenha a devida indicação médica.
A realização de tomografia em crianças ou adultos com agitação motora pode ser realizada com uso de anestesia (sedação), pois há necessidade de evitar artefatos de movimentos que possam prejudicar a análise do médico radiologista.
No caso de mulheres grávidas, existe uma contraindicação relativa para a realização de exames que usem radiação. Portanto, por norma, uma mulher em estado gestacional não poderá ser submetida a uma TC de pescoço, excetuando-se as situações de muita urgência e autorização do médico assistente.

Este exame pode, por norma, ser realizado por todas as pessoas, de todas as idades e gêneros, de uma forma simples e com qualidade, desde que tenha a devida indicação médica.
A realização de tomografia em crianças ou adultos com agitação motora pode ser realizada com uso de anestesia (sedação), pois há necessidade de evitar artefatos de movimentos que possam prejudicar a análise do médico radiologista.
No caso de mulheres grávidas, existe uma contraindicação relativa para a realização de exames que usem radiação. Portanto, por norma, uma mulher em estado gestacional não poderá ser submetida a uma TC de crânio, excetuando-se as situações de muita urgência e autorização do médico assistente
Na tomografia de pescoço sem o uso de contraste, o paciente não necessitará de estar em jejum ou realização de algum preparo prévio.
No entanto, o paciente que realizará com uso de contraste, deverá estar com jejum de pelo menos 4 horas, devido a administração endovenosa. Nesta situação, paciente será informado antecipadamente pelo local que irá realizar o exame.
Em ambos os casos não se faz necessário a realização de qualquer preparo especial prévia ao exame.
O paciente poderá tomar os medicamentos de sua rotina. A suspensão de qualquer medicamento deve apenas, ser feita sob orientação médica em conversa com o paciente.
Pacientes que realizarão exame com contraste e fazem uso de hipoglicemiantes a base de Metformina devem suspender seu uso por três dias: no dia da realização do exame e os dois dias que se seguem. A suspensão deve ser realizada com a autorização do médico solicitante, pois o mesmo pode/deve substituir o medicamento.
Na tomografia de pescoço com uso de contraste, são analisadas as estruturas vasculares da região estudada. A solução de contraste iodado é administrada por via endovenosa e distribui o contraste entre as estruturas com fluxos sanguíneos, realçando as estruturas hipervascularizadas, mostrando, por exemplo, tumores ou processos inflamatórios.
Contraindicações ao uso do contraste
O paciente não é exposto a nenhum tipo de dor ou desconforto durante a execução do exame, tendo em vista que a tomografia computadorizada é um exame indolor e não invasivo. No entanto, algumas pessoas poderão vivenciar breves momentos de ansiedade, o que é natural, dada a relevância do exame. Caso seja feita a aplicação de contraste, o paciente pode sentir um calor ou uma sensação diferente no corpo logo após a aplicação, como também um gosto metálico na boca, sensações muito comuns em procedimentos desse tipo.
A clínica de tomografia AMD Saúde é especializada em todos os tipos de exame de tomografia.
Conta com médicos especialistas com RQE (Registro no conselho de Medicina) com título do CBR (Colégio Brasileiro de Radiologia), as melhores tecnologias do país em radiologia com alta precisão e a experiência de mais de 1 milhão de laudos realizados em todo Brasil.
Tudo para garantir que seus laudos sejam entregues em até 3 horas.
Agende agora a sua TC de Pescoço de forma fácil e rápida.
