
HOME ➞ EXAMES ➞ TC DE ÓRBITAS

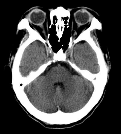
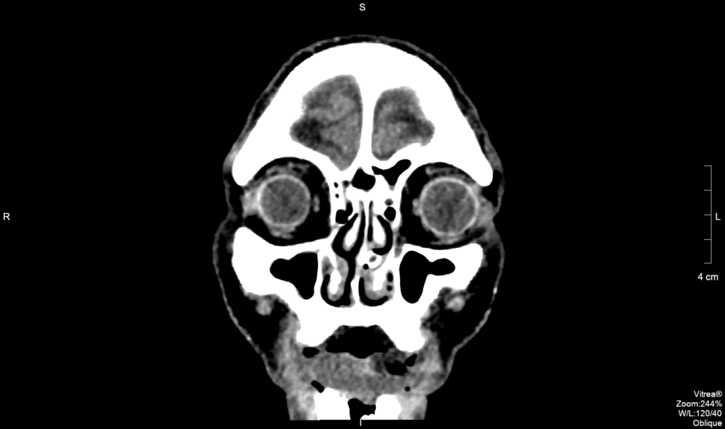
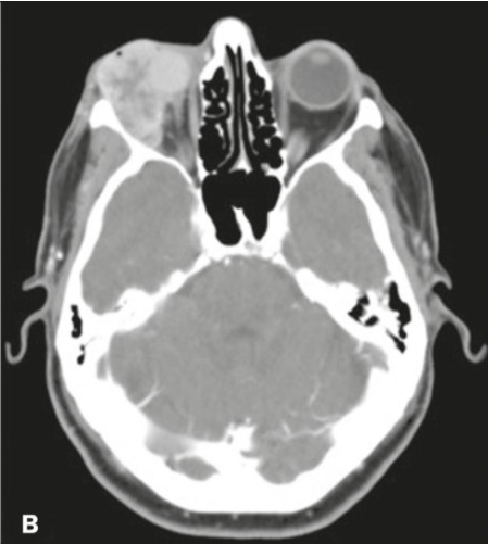
A tomografia computadorizada das órbitas é um exame de diagnóstico por imagem de alta qualidade, que permite a avaliação desta região de maneira anatômica, sendo ela um exame que serve não só para auxiliar o médico no estudo de diversas patologias (doenças) como também para avaliar as respostas aos tratamentos. Em algumas situações, é solicitado o uso de contraste iodado – via endovenosa –, para uma visualização mais detalhada da área desejada.
A órbita é uma cavidade do esqueleto da face onde se “encaixa o olho”. Anatomicamente tem uma forma de pirâmide, permitindo acomodar o bulbo do olho, os músculos que permitem a movimentação do olho, os nervos, os vasos sanguíneos e o aparelho lacrimal (para a produção de lágrimas).
Trata-se de um exame simples, eficaz, indolor, não invasivo e com poucas contraindicações, além de seu resultado ser tão rápido e eficaz quanto a realização.
A realização de tomografia de órbitas é de grande relevância na investigação de muitas doenças, como:

São vários os sintomas e sinais que podem levar à necessidade de realização do exame, entre os quais:
Apresentando algum desses sintomas, procure seu médico.

Após o horário previamente agendado, orientações recebidas e preparo feito de maneira correta, no dia da realização do exame orienta-se que o paciente se atente a alguns cuidados, quais sejam:
Após esses cuidados, o paciente é colocado de barriga para cima na maca, a qual deslizará para o interior do aparelho de tomografia computadorizada, facilitando a aquisição de imagens.
O exame é realizado por um técnico de radiologia. O paciente deve ficar imóvel por alguns instantes para a obtenção das imagens. Caso sinta algum desconforto durante o exame, o paciente poderá comunicá-lo ao técnico responsável por meio do comunicador existente no aparelho.
Pode haver necessidade de uso de contraste, o que aumenta a acurácia diagnóstica. O contraste é uma substância líquida, injetada na veia, durante a realização do exame. Em alguns casos, pode ocorrer gosto metálico na boca e sensação de calor, que passa em alguns instantes.
A duração média para a aquisição de uma TC de órbita é geralmente inferior a 1 minuto. Contudo, se incluirmos a preparação e o posicionamento do paciente no aparelho, o tempo total do procedimento, da entrada na sala ao término do exame, é de 10 a 20 minutos.
Em caso de necessidade de administrar contraste, este tempo é superior, uma vez que é necessária a punção para criar um acesso venoso e a realização de mais de uma aquisição.
Após a realização do exame, o Médico Radiologista irá checar as imagens e verificar se tudo está conforme os protocolos para cada tipo de exame e indicação médica, para posterior emissão do laudo. Em nosso serviço, o tempo de entrega do seu resultado será em até 3 horas, com algumas exceções que serão comunicadas aos nossos clientes.
Este exame pode, por norma, ser realizado por todas as pessoas, de todas as idades e gêneros, de uma forma simples e com qualidade, desde que tenha a devida indicação médica.
A realização de tomografia em crianças ou adultos com agitação motora pode ser realizada com uso de anestesia (sedação), pois há necessidade de evitar artefatos de movimentos que possam prejudicar a análise do médico radiologista.
No caso de mulheres grávidas, existe uma contraindicação relativa para a realização de exames que usem radiação. Portanto, por norma, uma mulher em estado gestacional não poderá ser submetida a uma TC de órbita, excetuando-se as situações de muita urgência e autorização do médico assistente.

Por meio da tomografia de órbita com uso de contraste, são analisadas as estruturas vasculares da região estudada. A solução de contraste iodado é administrada por via endovenosa e distribui o contraste entre as estruturas com fluxos sanguíneos, realçando as estruturas hipervascularizadas, mostrando, por exemplo, tumores ou processos inflamatórios.
Este exame, em sua grande maioria, é realizado sem o uso de contraste, caso o uso seja necessário, deve ser prescrito atentamente pelo médico solicitante ou médico radiologista.
Contraindicações ao uso do contraste
O paciente não é exposto a nenhum tipo de dor ou desconforto durante a execução do exame, tendo em vista que a tomografia computadorizada é um exame indolor e não invasivo. No entanto, algumas pessoas poderão vivenciar breves momentos de ansiedade, o que é natural, dada a relevância do exame. Caso seja feita a aplicação de contraste, o paciente pode sentir um calor ou uma sensação diferente no corpo logo após a aplicação, como também um gosto metálico na boca, sensações muito comuns em procedimentos desse tipo.
A clínica de tomografia AMD Saúde é especializada em todos os tipos de exame de tomografia.
Conta com médicos especialistas com RQE (Registro no conselho de Medicina) com título do CBR (Colégio Brasileiro de Radiologia), as melhores tecnologias do país em radiologia com alta precisão e a experiência de mais de 1 milhão de laudos realizados em todo Brasil.
Tudo para garantir que seus laudos sejam entregues em até 3 horas.
Agende agora a sua TC de Órbita de forma fácil e rápida.


A tomografia computadorizada das órbitas é um exame de diagnóstico por imagem de alta qualidade, que permite a avaliação desta região de maneira anatômica, sendo ela um exame que serve não só para auxiliar o médico no estudo de diversas patologias (doenças) como também para avaliar as respostas aos tratamentos. Em algumas situações, é solicitado o uso de contraste iodado – via endovenosa –, para uma visualização mais detalhada da área desejada.
A órbita é uma cavidade do esqueleto da face onde se “encaixa o olho”. Anatomicamente tem uma forma de pirâmide, permitindo acomodar o bulbo do olho, os músculos que permitem a movimentação do olho, os nervos, os vasos sanguíneos e o aparelho lacrimal (para a produção de lágrimas).
Trata-se de um exame simples, eficaz, indolor, não invasivo e com poucas contraindicações, além de seu resultado ser tão rápido e eficaz quanto a realização.
A realização de tomografia de órbitas é de grande relevância na investigação de muitas doenças, como:

São vários os sintomas e sinais que podem levar à necessidade de realização do exame, entre os quais:
Apresentando algum desses sintomas, procure seu médico.

Após o horário previamente agendado, orientações recebidas e preparo feito de maneira correta, no dia da realização do exame orienta-se que o paciente se atente a alguns cuidados, quais sejam:
Após esses cuidados, o paciente é colocado de barriga para cima na maca, a qual deslizará para o interior do aparelho de tomografia computadorizada, facilitando a aquisição de imagens.
O exame é realizado por um técnico de radiologia. O paciente deve ficar imóvel por alguns instantes para a obtenção das imagens. Caso sinta algum desconforto durante o exame, o paciente poderá comunicá-lo ao técnico responsável por meio do comunicador existente no aparelho.
Pode haver necessidade de uso de contraste, o que aumenta a acurácia diagnóstica. O contraste é uma substância líquida, injetada na veia, durante a realização do exame. Em alguns casos, pode ocorrer gosto metálico na boca e sensação de calor, que passa em alguns instantes.
A duração média para a aquisição de uma TC de órbita é geralmente inferior a 1 minuto. Contudo, se incluirmos a preparação e o posicionamento do paciente no aparelho, o tempo total do procedimento, da entrada na sala ao término do exame, é de 10 a 20 minutos.
Em caso de necessidade de administrar contraste, este tempo é superior, uma vez que é necessária a punção para criar um acesso venoso e a realização de mais de uma aquisição.
Após a realização do exame, o Médico Radiologista irá checar as imagens e verificar se tudo está conforme os protocolos para cada tipo de exame e indicação médica, para posterior emissão do laudo. Em nosso serviço, o tempo de entrega do seu resultado será em até 3 horas, com algumas exceções que serão comunicadas aos nossos clientes.
Este exame pode, por norma, ser realizado por todas as pessoas, de todas as idades e gêneros, de uma forma simples e com qualidade, desde que tenha a devida indicação médica.
A realização de tomografia em crianças ou adultos com agitação motora pode ser realizada com uso de anestesia (sedação), pois há necessidade de evitar artefatos de movimentos que possam prejudicar a análise do médico radiologista.
No caso de mulheres grávidas, existe uma contraindicação relativa para a realização de exames que usem radiação. Portanto, por norma, uma mulher em estado gestacional não poderá ser submetida a uma TC de órbita, excetuando-se as situações de muita urgência e autorização do médico assistente.

Por meio da tomografia de órbita com uso de contraste, são analisadas as estruturas vasculares da região estudada. A solução de contraste iodado é administrada por via endovenosa e distribui o contraste entre as estruturas com fluxos sanguíneos, realçando as estruturas hipervascularizadas, mostrando, por exemplo, tumores ou processos inflamatórios.
Este exame, em sua grande maioria, é realizado sem o uso de contraste, caso o uso seja necessário, deve ser prescrito atentamente pelo médico solicitante ou médico radiologista.
Contraindicações ao uso do contraste
– estar em jejum há pelo menos 4 horas, devido à administração endovenosa;
– tomar um comprimido de Cloridrato de Fexofenadina 120mg na noite anterior ao exame, às 20 horas;
– tomar um comprimido de Cloridrato de Fexofenadina 120mg 2 horas antes do horário do exame.
Essas informações devem ser dadas ao paciente, com antecedência, pelo local onde irá realizar o procedimento.
Além dos cuidados acima, é importante que o paciente informe ao responsável pelo exame todas as medicações de que faz uso e se possui alergia a algum medicamento, podendo fazer uso das medicações de sua rotina, se liberado pelo médico.
A suspensão de qualquer medicação deve ser feita apenas sob orientação médica, após conversa com o paciente.
Recomendações
Pacientes que realizarão exame com contraste e fazem uso de hipoglicemiantes à base de Metformina devem suspender seu uso por três dias: no dia da realização do exame e os dois dias que se seguem. A suspensão deve ser realizada com a autorização do médico solicitante.
NOTA: O paciente deve realizar o preparo de maneira correta!
O preparo não realizado, ou realizado incorretamente, pode fazer com que seu exame precise ser remarcado.
O paciente não é exposto a nenhum tipo de dor ou desconforto durante a execução do exame, tendo em vista que a tomografia computadorizada é um exame indolor e não invasivo. No entanto, algumas pessoas poderão vivenciar breves momentos de ansiedade, o que é natural, dada a relevância do exame. Caso seja feita a aplicação de contraste, o paciente pode sentir um calor ou uma sensação diferente no corpo logo após a aplicação, como também um gosto metálico na boca, sensações muito comuns em procedimentos desse tipo.
A clínica de tomografia AMD Saúde é especializada em todos os tipos de exame de tomografia.
Conta com médicos especialistas com RQE (Registro no conselho de Medicina) com título do CBR (Colégio Brasileiro de Radiologia), as melhores tecnologias do país em radiologia com alta precisão e a experiência de mais de 1 milhão de laudos realizados em todo Brasil.
Tudo para garantir que seus laudos sejam entregues em até 3 horas.
Agende agora a sua TC de Órbita de forma fácil e rápida.
